ناهنجاری های فک و دندان یا اصطلاحا اکلوژن دندان، عارضه هایی هستند که نه تنها بر زیبایی چهره بلکه بر عملکرد طبیعی دهان و دندان نیز تاثیر میگذارند.
یکی از شایعترین این ناهنجاریها، اپن بایت (Open Bite) است که با باز ماندن فضای بین دندانهای جلویی فک بالا و پایین هنگام بسته شدن دهان شناخته میشود.
ما در این مقاله از سایت دندانپزشکی دکتر بنیانیان، به بررسی علل، علائم و روش های درمان این مشکل فکی / دندانی خواهیم پرداخت. پس برای کسب اطلاعات بیشتر، تا انتهای این مطلب با ما همراه باشید.
ناهنجاری اپن بایت چیست؟
ناهنجاری اپن بایت نوعی مال اکلوژن (یا نامرتبی دندانها) است که در آن دندانهای بالا و پایین در هنگام بسته بودن دهان به طور کامل روی هم قرار نمیگیرند و بین آنها فاصله وجود دارد.
این فاصله میتواند در قسمت جلویی دهان (اپن بایت قدامی)، در قسمت پشتی دهان (اپن بایت خلفی) یا در هر دو قسمت (اپن بایت کامل) وجود داشته باشد.
در مقاله ای با عنوان “Anterior Open Bite Malocclusion” هم اپن بایت به صورت زیر تعریف شده است:
Anterior open bite is a type of malocclusion that occurs when there is no contact or overlap between the upper and lower front teeth. It can also occur with all forms of skeletal Dysgnathy. Prolonged use of a pacifier may contribute to its development
اپن بایت قدامی نوعی مال اکلوژن است که زمانی رخ میدهد که هیچ تماس یا همپوشانی بین دندانهای جلویی بالا و پایین وجود ندارد. این عارضه میتواند در تمام اشکال دیسگناتی اسکلتی رخ دهد. ضمن اینکه استفاده طولانی مدت از پستانک در کودکی هم ممکن است در ایجاد آن نقش داشته باشد.
تعریف عارضه اپن بایت به زبان ساده
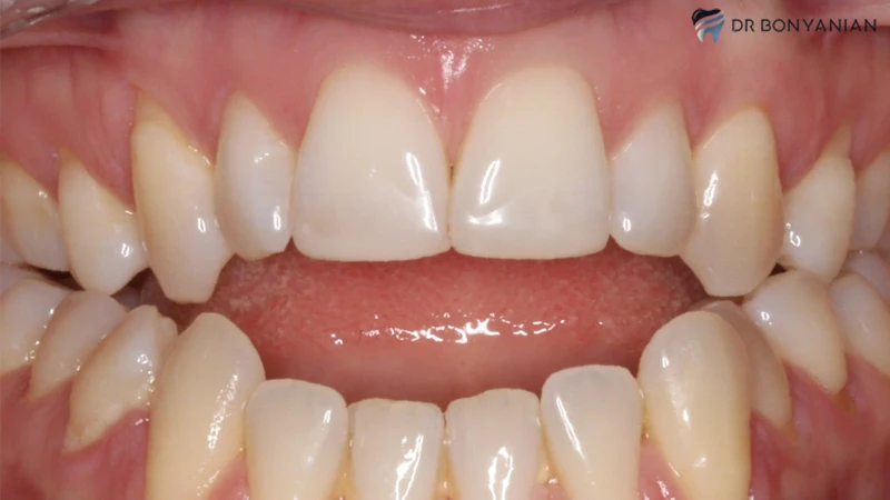
اگر درک توضیح بالا برای شما دشوار است، از توضیح و تصویر زیر برای فهم بهتر اوپن بایت استفاده کنید:
دهان خود را ببندید و دندانهای فک بالا و پایین خود را روی هم قرار دهید. آیا دندانهایتان روی هم قرار میگیرند؟ یا بین دندانهای فک بالا و فک پایینتان فاصله وجود دارد؟ اگر هیچ گونه همپوشانی (در جهت عمودی) بین دندانهای جلویی دهان شما وجود ندارد، شما دچار مشکل اپن بایت دندان هستید. درست مانند تصویر زیر!
دلایل ایجاد اپن بایت دندان چیست؟
دو دلیل اساسی برای ایجاد ناهنجاری Open Bite وجود دارد: دلایل اسکلتی یا دندانی. هر چند که گاهی اوقات، این مشکل به دلیل وجود هر دو عامل به وجود میآید.
- دلایل اسکلتی ایجاد اپن بایت: منظور از دلایل اسکلتی، دلایلی است که فرد از کودکی به آنها مبتلا است یا به دلیل رشد نادرست اسکلت با آنها درگیر میشود.
- دلایل دندانی یا رفتاری ایجاد اپن بایت: دلایل رفتاری، ناشی از عادات اشتباه فرد و یا ابتلا به مشکلات دندانی در بزرگسالی است.
در ادامه، تمام دلایل مربوط به این دو عامل را با یکدیگر بررسی خواهیم کرد.
رشد نامناسب فکها یا دندانها
اگر یکی از فکها یا هر دو فک به خوبی رشد نکند، احتمال ابتلا به اپن بایت افزایش پیدا خواهد کرد. رشد نامناسب فک به دلایل مختلفی مانند ژنتیک، عوامل محیطی، بیماریهای خاص و یا کمبود برخی از مواد مغذی در دوران بارداری به وجود میآید.
به جز این، رشد نامناسب دندانها نیز از دلایل ابتلا به Open Bite است. به هم ریختگی دندانها، روی هم قرار گرفتن آنها، وجود دندانهای اضافی و…، از جمله دلایل دندانیِ ابتلا به اپن بایت دندان به شما میآیند.
ناهنجاریهای مفصل گیجگاهی فکی (TMJ)
مفصل گیجگاهی فکی، مفصل بین فک پایین و جمجمه است. این مفصل به شما اجازه میدهد تا دهان خود را باز و بسته کنید، به جلو و عقب حرکت دهید و به چپ و راست بچرخانید. وجود هر گونه اختلال در این مفصل، میتواند باعث درد، ناراحتی و مشکل در عملکرد مفصل TMJ شود. در نهایت، احتمال درگیر شدن با مشکلی مانند اپن بایت، افزایش پیدا خواهد کرد.
برخی از علائم رایج ناهنجاری های TMJ عبارتند از درد در مفصل فک، عضلات صورت و گردن، صدا دادن مفصل فک هنگام باز و بسته کردن دهان، قفل شدن یا گیر کردن فک، مشکل در جویدن غذا، سردرد، وزوز گوش و درد دندان.
وجود فاصله بین دندانهای قدامی (دیاستما)
داشتن دیاستما یا فاصله بین دندان ها، شایعتر از آن چیزی است که فکر میکنید. ۵۰ تا ۶۰ درصد کودکان زیر ۵ سال دارای این فاصلهی بین دندانی هستند. هر چند که این مشکل در بسیاری از مواقع تا سن ۸ یا ۹ سالگی به خودی خود بسته میشود؛ اما احتمال ماندگاری آن نیز وجود دارد.
وقتی فرد به هر یک از دلایل فرنوم بزرگ لب، بیماری لثه و اندازه فک با دیاستما یا فاصله بین دندانها درگیر باشد، احتمال ابتلا به اپن بایت او نیز افزایش پیدا خواهد کرد.
بلند بودن صورت
سندرم صورت بلند که به آن بایت اسکلتی نیز گفته میشود، نوعی بیماری محسوب میشود که بازرترین نشانهی آن، رشد بیش از حد عمودی صورت میباشد. علت این مشکل معمولا ژنتیکی است و با کمک جراحی ارتوگناتیک برطرف میشود.
افرادی که با مشکل بلند بودن صورت و ارتفاع زیاد آن درگیر هستند، در معرض ابتلا به این مشکل قرار دارند. درمان و تصحیح ارتفاع صورت، علاوه بر رفع خودِ مشکلِ بایت اسکلتی، اپن بایت این افراد نیز برطرف خواهد کرد.
عادات دهانی نامناسب
حتی اگر نوزاد در زمان به دنیا آمدن با هیچ یک از مشکلات اسکلتی درگیر نباشد، باز هم ممکن است به مشکل اپن بایت دچار شود! رفتارهای نادرست دوران نوزادی و کودکی مانند مکیدن انگشت شست، استفاده دراز مدت از پستانک، فشار دادن زبان به دندانها و جویدن ناخن، از جمله رفتارهای اشتباهی است که با مرور زمان به اختلال فک و Open Bite تبدیل میشوند.
از دست دادن زودهنگام دندان های شیری
بسیاری از والدین تصور میکنند که دندانهای شیری کودک اهمیتی ندارند و چون قرار است در نهایت بیوفتند، دلیلی برای مراقبت از آنها وجود ندارد. در حالی که خراب شدن دندانهای شیری و از دست دادن زود هنگام آنها، تبعات جبران ناپذیری برای کودک ایجاد میکند که اختلال اپن بایت تنها یکی از آنها است.
وقتی کودک دندانهای شیری خود را زودتر از موعد از دست بدهد (و یا مجبور به کشیدن آنها شود)، دندانهای مجاور به سمت فضای خالی کشیده میشوند. همچنین، فضا برای رشد دندانهای دائمی محدودتر خواهد شد. در نتیجه، مشکل اپن بایت به وجود میاید.
بیماری های لثه
بیماریهای لثه نیز میتوانند عاملی جدی و موثر در ابتلا به اپن بایت به شمار بیایند. چرا که این بیماریها به مرور زمان منجر به تحلیل لثه و لق شدن دندانها میشوند. در این حالت، دندانها ممکن است به سمت بیرون یا داخل دهان جابجا و باعث ایجاد Open Bite شوند.
سایر دلایل ابتلا به اوپن بایت
- رتروگناتیسم
- سندرم داون
- شکاف کام
- تنفس دهانی
- صدمه و آسیب به صورت
- مکیدن لب پایینی
- جلو بودن زبان
هر چند وقتی فرد به اپن بایت مبتلا باشد، علت ابتلا به آن تفاوتی ندارد! بلکه از آنجا به بعد، نوبت به درمان و اصلاح این مشکل میرسد.
انواع اپن بایت
Open Bite انواع مختلفی دارد و از منظر ناحیه درگیری، به 4 دسته اصلی تقسیم میشود. در ادامه انواع متداول اپن بایت را معرفی خواهیم کرد.
۱. اپن بایت قدامی
اپن بایت قدامی بیشتر زمانی اتفاق میافتد که دندانهای جلویی (Incisors) فک پایین و بالا در یک بایت کامل بر روی هم قرار نگیرند. هر چند که این عارضه بیشتر دندانهای جلویی را درگیر میکند؛ اما میتواند تعدادی از دندانهای انتهای فک را نیز درگیر کند.
این نوع از اپن بایت معمولا به دلایل رفتاری به وجود میآید (نه اسکلتی). همچنین، برخی از مبتلایان به اپنبایت قدامی با مشکلات گفتاری دست و پنجه نرم میکنند و هنگام تلفظ و ادای کلمات با مشکل روبرو میشوند.
اکثر بیماران مبتلا به اپن بایت قدامی به درمانهای اصلاحی نیاز دارند. اگرچه تضمینی نیست، اما درمانهای این مشکل میتوانند کیفیت گفتار را نیز بازیابی کنند.
۲. اپن بایت خلفی
این نوع مال اکلوژن برعکس اپن بایت قدامی است و زمانی اتفاق میافتد که دندانهای شما در پشت فک با هم تماس نداشته باشند. یعنی در حالت گاز گرفتن، دندانهای پشت فک با هم تماس ندارند.
بیشترین دندانهای آسیب دیده در اپن بایت خلفی دندانهای پرمولر و مولر میباشند. این نوع مال اکلوژن معمولا به دلایل اسکلتی و وراثتی به وجود میآید؛ نه مشکلات رفتاری. همچنین، اپنبایت خلفی نسبت به اپن بایت قدامی نادرتر و کم شیوع تر است.
۳. اپن بایت دندانی
این مشکل زمانی رخ میدهد که دندانها به درستی شکل نگرفته باشند یا در موقعیت نامناسبی قرار گرفته باشند. این نوع اپن بایت میتواند هم ناشی از عادتهای دهانی اشتباه مانند مکیدن انگشت باشد؛ و هم ممکن است بر اثر دست دادن زودهنگام دندانهای شیری به وجود بیاید.
۴. اپن بایت اسکلتی
اپن بایت اسکلتی زمانی اتفاق میافتد که فک بالا و پایین به درستی تراز نشده باشند. این نوع مال اکلوژن معمولا با رشد غیر طبیعی استخوان فک صورت همراه است و بیشتر یک مشکل ژنتیکی است که منجر به رشد و تکامل نامنظم مولرهای دو استخوان فک میشود.
شاید بتوانیم اپن بایت اسکلتی را شدیدترین نوع اپن بایت معرفی کنید. این مشکل در 90 درصد از مواقع با درمانی مانند ارتودنسی دندان برطرف نمیشود و به جراحی کامل فک نیاز خواهد داشت.
درجه بندی شدت اپن بایت
Open Bite بر اساس میزان فاصله بین دندانهای بالا و پایین در هنگام بسته شدن دهان درجه بندی میشود. سه درجه بندی کلی برای اپن بایت وجود دارد:
اپن بایت خفیف
در اپن بایت خفیف، فاصله بین دندانهای بالا و پایین کمتر از 2 میلی متر است و مشکل فقط در هنگام لبخند زدن قابل مشاهده است.
اپن بایت متوسط
فاصله بین دندانهای بالا و پایین در اپن بایت متوسط بین 2 تا 4 میلی متر است. این میزان از بایت به مشکلات جویدن و صحبت کردن نیز منجر شود و ظاهر آن در هنگام صحبت کردن قابل توجه است.
اپن بایت شدید
در اپن بایت شدید، فاصله بین دندان به بیش از 4 میلی متر نیز میرسد. Open Bite شدید، علاوه بر ایجاد مشکلات در جویدن و صحبت کردن، تنفس فرد نیز تحت تاثیر قرار میدهد و جز با جراحی اپن بایت درمان نمیشود.
علائم ظاهری اپن بایت
قابل توجه ترین علامت اپن بایت ناتوانی در بستن کامل دهان است. به طوری که دندانهای جلو یا عقب بالای شما با دندانهای پایین تماس نداشته باشند. دیگر علائم ظاهری و غیرظاهری این مشکل شامل موارد زیر است.
- مشکلات جویدن یا بلع غذا
- مشکلات تلفظ
- مشکلات گفتاری
- تراز نامناسب دندانها
- درد در هنگام گاز گرفتن یا جویدن
- مشکل در گاز زدن غذا با دندانهای جلویی
- لبخندی نازیبا و نامتوازن
عوارض اپن بایت
مال اکلوژنهایی مانند اپن بایت، با گذشت زمان بدتر میشوند و احتمال بروز مشکلاتی مانند بیماری لثه یا ساییدگی بیش از حد دندانها را افزایش میدهند. از دیگر مشکلات ناشی از اپن بایت میتوان به موارد زیر اشاره کرد:
- اختلالات گفتاری
- سردرد و گوش درد
- مشکلات خواب
- خرناس
- احساس درد در هنگام صرف غذا
- ابتلای مکرر به بیماری لثه و پریودنتال
- پوسیدگی دندان در اثر رشد بیش از حد باکتریها
- مشکلات گوارشی ناشی از مشکل جویدن
- از بین رفتن اعتماد به نفس
مقایسه اوپن بایت با سایر ناهنجای های فکی
| ویژگیها / ناهنجاریها | اپن بایت (Open Bite) | آندربایت (Underbite) | اوربایت (Overbite) | کراس بایت (Crossbite) | دیپ بایت (Deep Bite) |
|---|---|---|---|---|---|
| تعریف | دندانهای جلویی بالا و پایین هنگام بستن دهان به هم نمیرسند و بین آنها فاصله است. | دندانهای پایین جلوتر از دندانهای بالا قرار میگیرند. | دندانهای بالا بیش از حد روی دندانهای پایین را میپوشانند. | دندانهای فک بالا و پایین به درستی روی هم قرار نمیگیرند؛ یک یا چند دندان از فک بالا پشت دندانهای پایین قرار میگیرند. | نوع شدید اوربایت که در آن دندانهای بالا، دندانهای پایین را کاملاً میپوشانند. |
| ظاهر لبخند | فضای باز در قسمت جلو؛ لبخند ناقص یا غیرطبیعی | جلو آمدن فک پایین؛ نمای برعکس در ناحیه چانه | پوشش زیاد دندانهای پایین توسط دندانهای بالا | کج بودن بخشی از قوس دندانی در زمان بسته بودن دهان | پنهان شدن بیش از حد دندانهای پایین؛ نمای چهره افتاده یا بسته |
| علل شایع | عادات نادرست مانند مکیدن انگشت، تنفس دهانی، وراثت | وراثت، رشد زیاد فک پایین | وراثت، فشار زبان، عادات دهانی | عوامل ژنتیکی، رویش نامناسب دندانها | رشد غیرطبیعی فک یا فشار زبان به دندانها |
| مشکلات عملکردی | مشکل در جویدن، حرف زدن، بلع | مشکلات جویدن، تحلیل دندانها | فشار به دندانها و لثهها | سایش نامتقارن، پوسیدگی یکطرفه | درد فک، سایش بیش از حد دندانها |
| روشهای درمانی | ارتودنسی، اصلاح عادات، در موارد شدید جراحی فک | ارتودنسی، جراحی در موارد شدید | ارتودنسی، اصلاح رفتارهای دهانی | ارتودنسی، در صورت نیاز همراه با درمان اسکلتی | ارتودنسی، تراش یا بلند کردن دندانها در موارد خاص |
| سن مناسب برای درمان | کودکی تا نوجوانی بهترین زمان است، اما بزرگسالان هم قابل درمان هستند. | اغلب در سنین پایین بهتر درمان میشود، ولی بزرگسالان هم میتوانند درمان شوند. | هر زمان، ولی در سن رشد بهتر نتیجه میدهد. | بهتر است در سن رشد اصلاح شود. | سنین پایین موثرتر، ولی قابل درمان در بزرگسالی نیز هست. |
چرا باید اپن بایت را درمان کنیم؟
اپن بایت یک مشکل و نوعی ناهنجاری است و تمام ابعاد زندگی فرد را تحت تاثیر قرار میدهد. این ناهنجاری، ظاهری نازیبا برای فرد به وجود میآورد. به شکلی که گویی دندانهای فرد از فک بیرون زده شده است.
اپنبایت در گفتار و تلفظ فرد اختلال ایجاد میکند. به عنوان مثال، بسیاری از افراد مبتلا به Open Bite، در ادای کلمات دچار مشکل میشوند. این افراد در غذا خوردن، خوابیدن و حضور در اجتماع نیز با مشکلات متعددی روبرو خواهند شد.
علاوه بر همهی اینها، اپن بایت به مرور زمان منجر به سایش و پوسیدگی دندانها میشود. پس شاید باید این سوال را به نحو دیگری از خود بپرسید: چرا نباید این مشکل را درمان کنم؟!
برای دریافت مشاوره دندانپزشکی رایگان درباره نحوه درمان اپن بایت در بزرگسالان و کودکان میتوانید از طریق فرم زیر اقدام نمایید.
تجربه واقعی یکی از بیماران در درمان اپن بایت در کلینیک دکتر بنیانیان
من از بچگی با مشکل بسته نشدن دندانهای جلوییام درگیر بودم. همیشه موقع لبخند زدن حس میکردم لبخندم ناقصه. دندانهام جلو نمیاومدن روی هم، و بین فک بالا و پایینم همیشه یه فضای خالی بود.
از طریق جستجو در اینترنت با کلینیک دکتر بنیانیان آشنا شدم. از همون جلسه اول مشاوره، برخورد حرفهای و صمیمی تیم کلینیک باعث شد مطمئن بشم جای درستی اومدم.
دکتر بنیانیان با دقت شرایط فکم رو بررسی کرد و برام یه برنامه درمانی با ارتودنسی طراحی کرد. چون بالای 16 سال بودم، نگران بودم که درمان خیلی سخت یا طولانی باشه و تا زمانی که قراره برم دانشگاه خوب نشم. ولی با توضیحات کامل ایشون خیالم راحت شد که درمان شدنیه.
در طول درمان، من به خوبی متوجه تغییرات شدم. فضای بین دندونهام کمکم بسته شد و الان بعد از حدود ۱۸ ماه، وقتی تو آینه لبخند میزنم، دیگه اون فاصلهی آزاردهنده نیست. حرف زدنم روانتر شده، غذا خوردنم راحتتره و مهمتر از همه، اعتمادبهنفسم چند برابر شده.
اگه شما هم با مشکل اپن بایت درگیر هستید، واقعا بهتون پیشنهاد میکنم با کلینیک دکتر بنیانیان مشورت کنید. نتیجهای که گرفتم، خیلی بیشتر از چیزی بود که تصور میکردم.
درمان اپن بایت
راهکارهای زیادی برای درمان اپن بایت دندان در دسترس افراد است. اما تشخیص اینکه کدامیک از این روشها برای شما بهتر است، بر عهدهی دندانپزشک متخصص شما است. در نهایت و به طور کلی، روش های درمان اپن بایت عبارتند از:
- اصلاح رفتار
- درمان مکانیکی (مانند ارتودنسی یا اینویزیلاین)
- جراحی
اصلاح رفتار
وقتی اپن بایت در کودکان که هنوز دندانهای شیری دارند رخ میدهد، میتواند خود به خود و با مرور زمان برطرف شود. زیرا توقف رفتارهای کودکی (مثلا مکیدن شست یا پستانک)، ناهنجاری به وجود آمده را برطرف میکند.
با این حال، والدین نقشی اساسی در درمان اپن بایت کودکان خواهند داشت. سعی کنید عادتهای اشتباه فرزند خود را اصلاح و از پیشآمد Open Bite در بزرگسالی او جلوگیری کنید.
درمان اپن بایت با ارتودنسی یا اینویزیلاین
ارتودنسی دندان رایجترین روش درمان اپن بایت است. دندانپزشک برای درمان اپن بایت با ارتودنسی از بریسها یا ارتودنسی ثابت، ارتودنسی لینگوال یا شفاف (مانند اینویزیلاین) برای جابجایی دندانها و قرار دادن آنها در موقعیت صحیح استفاده میکند. این کار، به مرور زمان مشکل اپن بایت فرد نیز برطرف میکند.
جراحی اپن بایت
اگر ناهنجاری اپن بایت شدید باشد و هیچ یک از راهکارهای اصلاح رفتار، ارتودنسی و ترکیبِ آنها موثر نباشد، ارتودنتیست به شما پیشنهاد میکند تا از روش جراحی فک و صورت استفاده کنید. جراحی اپن بایت آخرین راهکار درمان این مشکل در افرادی است که با شدت بالای ناهنجاری روبرو هستند.
درمان اوپن بایت بدون جراحی
دکتر نازی بنیانیان:
در صورتی که شدت Open Bite شما زیاد نباشد، میتوانید از روش درمان اپن بایت بدون جراحی و با کمک ارتودنسی استفاده کنید. خصوصا اگر قبل از تکمیل و اتمام رشد استخوانهای فک و کام نسبت به درمان اقدام کنید.
درمان اپن بایت با لمینت
برخی از دندانپزشکان به شما پیشنهاد میکنند که از روش درمان اپن بایت با لمینت دندان استفاده کنید. اگرچه این روش برای رفع اپن بایت خفیف مناسب است؛ اما فراموش نکنید که شما با این کار، تنها صورت مساله را پاک میکنید.
لمینت با پوشاندن عیوب و مخفی کردن مشکل جلو بودن دندان ها، اپن بایت را تا حدودی برطرف میکند. اما مشکلاتی مانند پوسیدگی دندان، اختلالات گفتاری و مشکلات تنفسی با لمینت برطرف نخواهد شد.
برای درمان Open Bite به چه متخصصی مراجعه کنیم؟
شما میتوانید مشکل اپن بایت خود یا فرزندتان را با کمک یک متخصص ارتودنسی اصلاح کنید. متخصصین ارتودنسی در درمان این نوع مشکلات دندانی (با استفاده از روشهایی از جمله بریس و اینویزیلاین) ماهر هستند.
متخصص ارتودنسی با استفاده از اشعه ایکس، تصویربرداری سه بعدی و همچنین معاینه حضوری، مشکل را تشخیص و گزینههای درمانی را به شما ارائه میدهد.
درمان اپن بایت در کلینیک دندانپزشکی دکتر بنیانیان
اگر پس از مطالعهی این مقاله، تصمیم گرفتید که نسبت به درمان اپن بایت خود یا فرزندتان اقدام نمایید، میتوانید از حضور متخصصان کلینیک دندانپزشکی دکتر بنیانیان در شهر تهران بهرهمند شوید.
متخصصان این کلینیک پس از بررسی دقیق مشکل شما، با رویکردی جامع و با در نظر گرفتن تمام جوانب، بهترین روش درمان اپن بایت را برای شما انتخاب و اجرا میکنند.
مزایای درمان اپن بایت دندان در کلینیک دندانپزشکی دکتر بنیانیان شامل حضور برترین متخصصان ارتودنسی و متخصصان جراح فک و صورت ایران، استفاده از تجهیزات به روز و پیشرفته، رضایت بسیار بالای مراجعین و دریافت هزینه جراحی اپن بایت به صورت اقساطی میباشد که این کلینیک را به بهترین کلینیک دندانپزشکی در تهران تبدیل کرده است.
اگر به دنبال درمان اپن بایت هستید، کلینیک دندانپزشکی دکتر بنیانیان میتواند گزینه مناسبی برای شما باشد. برای کسب اطلاعات بیشتر و دریافت مشاوره رایگان میتوانید با شماره تلفن 02188539720 تماس حاصل نمایید و یا به آدرس کلینیک ما، واقع در تهران، میدان آرژانتی ، خیابان احمد قصیر (بخارست)، خیابان ششم غربی، پلاک ۲۲، واحد ۷ مراجعه کنید.
هزینه درمان اوپن بایت
هزینه نهایی درمان اختلال اپن بایت به راهکار درمانی فرد بستگی دارد. عواملی مانند سن، شدت ناهنجاری و طول درمان نیز از سایر عوامل اثرگذار روی قیمت درمان اپن بایت هستند. با این حال، شما میتوانید برای بررسی کاملتر هزینه ارتودنسی اپن بایت به مقاله قیمت ارتودنسی دندان مراجعه نمایید.
در آخر
اگر چه اپن بایت در هر سنی قابل درمان است، اما زمانی که دندانهای بالغ به طور کامل رشد نکردند، درمان آن بسیار آسان تر و سریعتر است. اگر به عنوان والدین یک کودک، احساس میکنید که فرزندتان به اپن بایت مبتلا است، بهتر است هر چه سریعتر برای انجام ارزیابیهای تکمیلی به یک دندانپزشک خوب مراجعه نمایید.
مراجعه سریعتر از درمانهای دشوارتری مانند جراحی اپن بایت جلوگیری خواهد کرد.
چقدر این پست مفید بود؟
روی یک ستاره کلیک کنید تا به آن امتیاز دهید!
میانگین امتیاز 3.6 / 5. تعداد آرا: 44
تا الان رای نیامده! اولین نفری باشید که به این پست امتیاز می دهید.

















