درمان ریشه دندان، روشی بسیار متداول در دنیای دندانپزشکی است که برای درمان دندان های عفونی و پوسیده مورد استفاده قرار میگیرد. با این حال، یکی از عوارض شایع این درمان، سیاه شدن دندان بعد از عصب کشی است. تا حدی که بسیاری از افرادی که عصب کشی انجام دادند (و دندان خود را روکش نکردند)، بعد از گذشت چند سال متوجه تیره تر شدن رنگ دندان خود شدند.
به همین دلیل، ما تصمیم گرفتیم تا در این مقاله، به بررسی دلایل علمی این تغییر رنگ بپردازیم و به سوالاتی مانند «چرا دندان عصب کشی شده سیاه میشود؟» و «آیا راهی برای جلوگیری یا درمان این تغییر رنگ وجود دارد؟» پاسخ دهیم. پس تا انتهای این مطلب، با متخصصان کلینیک دندانپزشکی دکتر بنیانیان همراه شوید.
منظور از سیاه شدن رنگ دندان عصب کشی شده چیست؟
سیاه شدن دندان عصب کشی شده، یک تغییر رنگ ناخواسته است که در برخی موارد پس از انجام این درمان دندانپزشکی مشاهده میشود. در واقع، دندان هایی که عصب کشی شدند، به دلایل مختلف ممکن است به رنگهایی تیره مانند خاکستری، قهوهای یا حتی سیاه تغییر رنگ دهند. این تغییر رنگ میتواند از نظر زیبایی برای فرد آزاردهنده باشد و اعتماد به نفس شخص را تحت تاثیر قرار دهد.
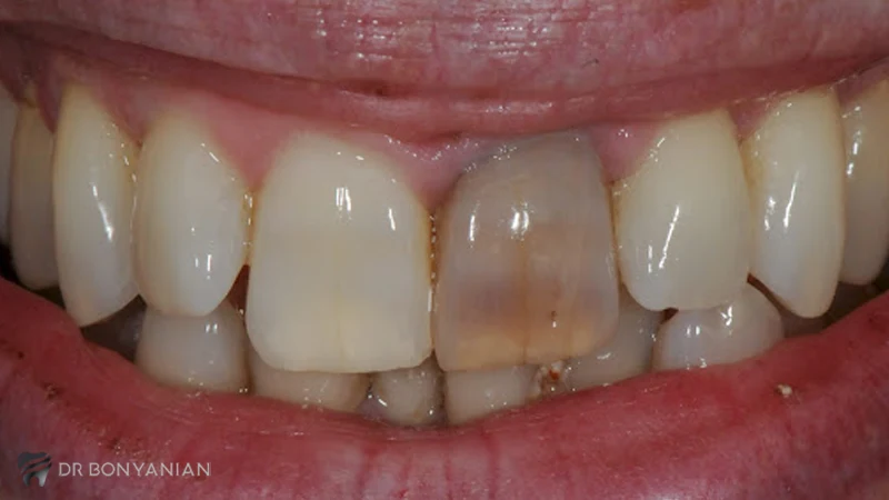
تصویر زیر، نمونه ای از دندانی که بعد از درمان ریشه دندان دچار تیرگی دندان پس از عصب کشی شده را به شما نشان میدهد:
برای اطلاع از قیمت عصب کشی دندان ۱۴۰۴ به صفحه مربوطه مراجعه نمایید.
چرا دندان عصب کشی شده سیاه میشود؟
دندان عصب کشی شده دیگر زنده نیست و خونرسانی به آن قطع میشود، بنابراین در برابر تغییر رنگ بسیار آسیبپذیر میشود. بر اساس مقاله ای با عنوان “Discoloration Potential of Endodontic Sealers“، دلایل اصلی این تغییر رنگ عبارتند از:
- مواد پرکننده
- تخریب مواد آلی داخل دندان مانند عصب و پالپ
- عفونت باقیمانده
- خطای دندانپزشکی
- ضربه به دندان
- تغییر رنگ داخلی دندان

مواد پرکننده
یکی از دلایل شایع سیاه شدن دندان پس از عصب کشی، مواد پرکنندهای است که دندانپزشک برای پر کردن کانالهای ریشه دندان استفاده میکند. این مواد، به ویژه در گذشته، اغلب حاوی ترکیباتی بودند که با گذشت زمان تغییر رنگ داده و باعث تیره شدن دندان میشدند.
برای مثال، برخی از این مواد مانند آمالگام، حاوی ترکیباتی فلزی مانند جیوه، نقره، قلع و مس هستند. این فلزات با گذشت زمان و در مجاورت هوا و رطوبت طبیعی دهان اکسید و باعث تیره شدن رنگ دندان بعد از عصب کشی میشوند.
مواد غذایی و نوشیدنیهای رنگی مانند قهوه، چای، سس قرمز و نوشابههای کولا هم میتوانند به مرور زمان به داخل این مواد ترمیمی نفوذ کنند و باعث تغییر رنگ آنها شوند.
البته خوشبختانه با پیشرفت علم دندانپزشکی، مواد پرکننده جدیدی به بازار آمدند که بسیار پایدارتر از مواد ترمیمی قدیمی هستند و احتمال تغییر رنگشان بسیار پایینتر است. کامپوزیت دندان یکی از این مواد است که هم با دندان طبیعی هماهنگتر هستند و هم کمتر در معرض تغییر رنگ قرار میگیرند.
در این میان، این سؤال نیز مطرح میشود که دندان عصب کشی شده چقدر عمر میکند و چه عواملی میتوانند بر دوام و سلامت بلند مدت آن تاثیر بگذارند.

تخریب مواد آلی داخل دندان مانند عصب و پالپ
یکی دیگر از دلایل اصلی تیرگی دندان پس از عصب کشی، از بین رفتن مواد آلی درون دندان است. دندانهای طبیعی ما از لایههای مختلفی تشکیل شدهاند که هر کدام نقش خاصی در زیبایی، کارایی و سلامتی دندانهای ما ایفا میکنند.
عاج و مینا، دو تا از این لایههای اصلی دندان هستند. عاج لایه داخلی و نرمتر دندان است و حاوی لولههای بسیار ریز و ظریفی است که عصب و رگهای خونی از آنها عبور میکنند. این بخش را پالپ مینامیم. پالپ دارای نوعی مواد آلی و معدنی است که به دندان رنگ و شفافیت میدهند.
هنگامی که دندانی عفونت میکند یا آسیب میبیند، پالپ دندان نیز تحت تاثیر این عفونت قرار میگیرد. پس بعد از بروز نشانه به عصب رسیدن دندان، دندانپزشک این پالپ عفونی یا آسیبدیده را از داخل کانالهای ریشه دندان برمیدارد.
با برداشته شدن پالپ، مواد آلی و معدنی موجود در آن نیز از بین میروند. در نتیجه، ساختار داخلی دندان تغییر کرده و دندان رنگ خود را از دست میدهد و تیره میشود.
در همین زمینه، لازم است به عوارض پر کردن دندان بدون عصب کشی نیز توجه شود، چرا که در صورت عدم درمان صحیح پالپ آسیب دیده، ممکن است عفونت باقی مانده و مشکلات جدیتری مانند درد مزمن یا آبسه ایجاد شود.
با این اوصاف، باید درک کنید که تغییر رنگ دندان پس از عصبکشی، یک عارضه طبیعی است که در بسیاری از موارد غیرقابل اجتناب محسوب میشود. با این حال، با انتخاب مواد پرکننده مناسب، رعایت بهداشت دهان و دندان و مراجعه منظم به دندانپزشک، میتوانید این تغییر رنگ را به حداقل رساند.
البته اگر این تغییر رنگ همراه با درد، تورم یا بوی بد دهان باشد، ممکن است این سوال برایتان پیش بیاید که از کجا بفهمیم دندان عصب کشی شده عفونت کرده؟ در چنین شرایطی بررسی دقیق توسط دندانپزشک ضروری است.

عفونت باقیمانده
حتی پس از انجام عصب کشی و تمیز کردن کانالهای ریشه، امکان باقی ماندن برخی باکتریها و عفونت در قسمتهای عمیقتر کانالها وجود دارد. باکتریهایی که میتوانند به مرور زمان باعث درد دندان عصب کشی شده و تیرگی دندان پس از عصب کشی شوند.
البته خود عفونت به تنهایی هم میتواند باعث تحریک سلولهای دندان شود و رنگدانههای تیرهای را در دندان تشکیل دهد.
اگر برای شما هم سوال پیش آمده که قیمت عصب کشی دندان شماره ۶ چقدر است، در صفحه هزینه عصب کشی دندان به صورت مفصل توضیح داده ایم.
خطای دندانپزشکی
نازی بنیانیان:
اگر دندانپزشکی که برای انجام فرایند عدرمان ریشه دندان خود به او مراجعه میکنید از مهارت کافی در انجام این کار برخوردار نباشد، ممکن است بخشهایی از پالپ (عصب دندان) را در کانالهای ریشه باقی بگذارد. یعنی ناحیه عفونی را به درستی تخلیه نکند. در صورتی که چنین خطایی از سمت دندانپزشک رخ دهد، پالپ باقی مانده (که هیچ خون و اکسیژنی به دلیل نبود ریشه به آن نمیرسد) به مرور زمان به یک بافت مرده تبدیل میشود. در نتیجه، دندان شما دچار تغییر رنگ پس از عصب کشی خواهد شد. همین موضوع یکی از دلایلی است که ما همیشه به مراجعه به یک دندان پزشک خوب تاکید میکنیم.

ورود ضربه به دندان
ضربه وارد شدن به دندان که اصطلاح پزشکی آن ترومای دندان است، حتی پس از عصب کشی، میتواند یکی دیگر از عوامل بسیار تاثیرگذار روی تغییر رنگ و تیرگی آن دندان باشد. زیرا هنگامی که دندانی ضربه میبیند، رگهای خونی درون پالپ آن آسیب میبینند و نوعی خونریزی داخلی در آن دندان ایجاد میشود. خونریزیای باعث میشود مواد رنگی خون به درون بافتهای دندان نفوذ و آنها را تیره کند.
حتی اگر عصب دندان قبلا کشیده شده باشد، ضربه میتواند باعث شکستگیهای میکروسکوپی در دندان شود و راه را برای نفوذ باکتریها و مواد رنگی به داخل دندان هموار کند.
علاوه بر این، ضربه میتواند باعث ایجاد ترکهایی ریز در مینای دندان هم بشود. ترکهایی که میتوانند به عنوان مسیری برای نفوذ رنگدانههای غذایی و نوشیدنیها به داخل دندان عمل کنند و باعث تغییر رنگ آن شوند.
شاید برایتان جالب باشد که بدانید ضربه حتی ممکن است باعث ایجاد التهاب در بافتهای اطراف ریشه دندان هم بشود. التهابی که میتواند به تولید رنگدانههای تیره و سیاه شدن دندان بعد از عصب کشی شود.
بیشتر بخوانید: چقدر بعد از عصب کشی دندان را پر کنیم؟
تغییر رنگ داخلی دندان
آخرین دلیل شایع سیاه شدن دندان پس از عصب کشی، تغییر رنگ داخلی دندان است. زیرا زمانی که عصب دندان کشیده میشود، دندان به اصطلاح میمیرد و دیگر خونرسانی به آن انجام نمیشود. در نتیجه، دندان توانایی خود را برای حفظ رنگ طبیعی از دست میدهد.
البته مصرف برخی از داروها هم میتوانند دندان را از داخل تیره کنند. هرچند که این موضوع، خیلی به عصب کشی شده بودن یا نبودن آن دندان ارتباطی ندارد.

درمان سیاه شدن دندان عصب کشی شده
خوشبختانه راه حل های متعددی برای رفع سیاهی و تیرگی دندان پس از عصب کشی وجود دارد. اما انتخاب روش درمانی مناسب به میزان تغییر رنگ، محل دندان و ترجیحات شخصی شما بستگی دارد. در ادامه به برخی از روشهای درمان رایج اشاره میکنیم:
- بلیچینگ دندان
- روکش دندان
- لمینت دندان
- کامپوزیت دندان
- باندینگ

۱. درمان سیاه شدن دندان عصب کشی شده با بلیچینگ دندان
یکی از روشهای بسیار موثر برای برطرف کردن تیرگی دندان پس از عصب کشی، بلیچینگ کردن دندان است. بلیچینگ در واقع فرآیندی است که در طی آن، رنگ دندان با استفاده از موادی شیمیایی و سفیدکننده روشنتر میشود.
سفید کردن دندان عصب کشی شده از طریق بلیچینگ از ۲ طریق انجام میشود:
- بلیچینگ داخلی
- بلیچینگ خارجی
در بلیچینگ داخلی، ماده سفیدکننده به طور مستقیم داخل کانال ریشه دندان تزریق میشود. این روش برای دندان هایی که از داخل تغییر رنگ دادهاند، موثرتر است. چون ماده سفیدکننده با نفوذ به بافتهای داخلی دندان، رنگدانههای تیره را تجزیه و دندان را روشنتر میکند.
برای اخذ بهترین نتیجه از فرایند بلیچینگ، ممکن است دندان پزشک به شما توصیه کند که بلیچینگ خارجی هم روی دندان هایتان انجام دهید. یعنی ماده سفیدکننده را به صورت ژل یا خمیر روی سطح دندانتان قرار دهد تا لکههای سطحی دندانتان از بین برود.
- مزایا: روشی موثر برای روشن کردن رنگ دندان.
- معایب: ممکن است به چندین جلسه درمانی نیاز باشد و نتیجه آن دائمی نباشد.

۲. درمان سیاه شدن دندان عصب کشی شده با روکش دندان
موثرترین و دائمیترین روش برای پوشاندن تغییر رنگ دندان عصب کشی شده، استفاده از روکش دندان است. همانطور که احتمالا میدایند، روکش دندان یک کلاهک از جنس سرامیک، زیرکونیوم، فلز یا حتی طلا است که روی تمام سطح دندان قرار میگیرد و ظاهر آن را به طور کامل تغییر میدهد. بنابراین، هرگونه تغییر رنگ یا لکهای که بر روی دندان وجود دارد، کاملا پنهان میشود.
البته روکشها از موادی بسیار مقاوم ساخته میشوند. به همین دلیل، بسیار بادوام هستند و میتوانند از دندان در برابر شکستگی و آسیبهای بعدی نیز محافظت کنند. به همین دلیل است که دندانپزشکان استفاده از روکش بعد از عصب کشی دندان را برای برخی از عصب کشیها اجباری میکنند.
برای کسب اطلاعات بیشتر، نگاهی به مقاله “دلایل نیاز به روکش کردن دندان عصب کشی شده” بیاندازید.
- مزایا: استحکام بالا، ظاهر طبیعی و ماندگاری طولانی مدت.
- معایب: نیاز به تراشیدن بخشی از دندان.

۳. درمان سیاه شدن دندان عصب کشی شده با لمینت دندان
لمینت کردن دندان، یکی دیگر از اقداماتی است که میتوانید برای بهبود ظاهر دندان های تغییر رنگ داده شدهی خود از آن استفاده کنید. این روش محبوب، هم برای دندان های عصب کشی شده و تغییر رنگ داده کاربرد دارد، هم برای دندان هایی که با آسیب هایی مثل شکستگی، ترک خوردگی یا لب پریدگی مواجه هستند.
لمینت لایهی نازکی است که روی سطح جلویی دندان چسبانده میشود و میتواند نقصهای دندانی را پنهان کند. در نتیجه، برای پنهان کردن دندان های تغییر رنگ داده شده، گزینهای بسیار مناسب محسوب میشود.
- مزایا: ظاهر طبیعی، مقاومت بالا و امکان اصلاح شکل دندان.
- معایب: نیاز به تراشیدن مینای دندان، الزام به لمینت کردن تعدادی از دندان ها(به جای صرفا یک دندان).

۴. درمان سیاه شدن دندان عصب کشی شده با کامپوزیت دندان
آخرین راهکاری هم که میتواند برای رفع تیرگی دندان پس از عصب کشی مورد استفاده قرار گیرد، کامپوزیت کردن دندان است. مادهای همرنگ دندان که به صورت لایههایی نازک روی سطح دندان قرار میگیرد و پس از پولیش، ظاهر یک دستی به دندان های شما هدیه میدهد.
کامپوزیت چند مزیت مختلف دارد. برای مثال، به طور کامل روی سطح دندان قرار میگیرد و تمام تغییر رنگها و لکهها را میپوشاند؛ شکل و اندازه دندان را نیز اصلاح میکند؛ لبخند شما را اصلاح میکند و هزینهی منصفانهتری نسبت به لمینت دندان دارد.
- مزایا: قیمت پایین، زیبایی بالا، امکان اصلاح سایر عیوب (به جز تغییر رنگ).
- معایب: دوام نسبتا پایین.

چگونه از سیاه شدن رنگ دندان عصب کشی شده پیشگیری کنیم؟
یکی از مهمترین عوامل سیاه شدن دندان بعد از عصب کشی، نفوذ باکتریها به داخل عصب کشی شده دندان است. به همین دلیل، بسیار مهم است که پس از عصب کشی اقدام زیر را انجام دهید:
| عامل موثر | توصیه برای پیشگیری |
|---|---|
| نفوذ باکتریها به داخل دندان | رعایت کامل بهداشت دهان و دندان |
| باقی ماندن پلاک و میکروب | استفاده منظم از نخ دندان و دهانشویههای ضدباکتری |
| استفاده از مواد ترمیمی بیکیفیت | درخواست استفاده از مواد پرکننده با کیفیت از دندانپزشک |
| مصرف مواد غذایی و نوشیدنیهای رنگی | کاهش مصرف چای، قهوه، نوشابههای رنگی و غذاهای حاوی رنگدانه |
| سبک زندگی نامناسب (سیگار، خشکی دهان، بیماری لثه) | پرهیز از سیگار کشیدن، درمان خشکی دهان و کنترل بیماریهای لثه |
| تجربه و مهارت دندانپزشک | انتخاب دندانپزشک ماهر برای انجام دقیق مراحل عصب کشی و ترمیم |

جمع بندی نهایی موضوع سیاه شدن دندان بعد از عصب کشی
در پایان، سیاه شدن دندان بعد از عصب کشی، اگرچه ممکن است رخ دهد، اما با رعایت بهداشت دهان و دندان، انتخاب مواد پرکننده مناسب و مراجعه منظم به دندانپزشک قابل پیشگیری است. انتخاب یک دندانپزشک ماهر و با تجربه نیز در این زمینه بسیار حائز اهمیت است. با اتخاذ این اقدامات، میتوانید از زیبایی و سلامت دندان های خود و جلوگیری از تیرگی دندان پس از عصب کشی محافظت کنید.
ضمنا برای اطلاع از قیمت عصب کشی دندان جلو می توانید با مشاورین ما تماس بگیرید.
چقدر این پست مفید بود؟
روی یک ستاره کلیک کنید تا به آن امتیاز دهید!
میانگین امتیاز ۲.۳ / ۵. تعداد آرا: ۳
تا الان رای نیامده! اولین نفری باشید که به این پست امتیاز می دهید.




